校园动态

当前位置: 首页 > 校园动态 > 正文

临床医学院/附属医院神经外科自主开展我市首例立体定向下脑干出血穿刺外引流术

作者:临床医学院/附属医院 发布时间:2018年01月23日 10:50浏览次数:

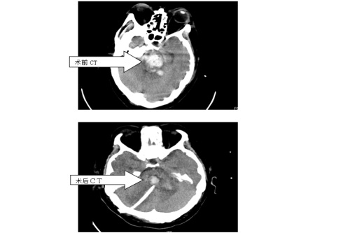
  近日,临床医学院/附属医院神经外科成功为一例脑干出血患者行九江地区自主进行的首例“立体定向下脑干出血穿刺外引流术”,手术顺利,置管成功,术后引流效果佳。

 

 

  患者入院时呈神志深昏迷状态,GCS4分,CT提示脑干出血。脑干出血是脑出血中最凶险的一种,一直被认为是手术禁区,患者死亡率及致残率极高,以前传统治疗均为给予药物保守治疗。近年来有些大医院开展开颅手术清除血肿,但并不能改善患者预后,没有得到广泛推广。经过与患者家属充分沟通,神经外科赵浪平主任医师带领张国斌副主任医师,周嘉敏、黄启伟主治医师,朱鹏博医师等一起为患者行“脑干出血立体定向下穿刺外引流术”。该手术具有恢复快、住院时间短、治疗费用低等优点,是一种创伤小、治疗确切、家属容易接受的治疗手段。

 

  临床医学院/附属医院自引进新的立体定向仪以来,就已开展了多例“脑出血”的“立体定向脑内血肿置管外引流术”,均取得了成功。立体定向仪不但可以行脑出血“靶向”治疗,对于颅内微小病变及无法明确诊断的病变也可进行“靶向”下活检,还可以立体定向下脑内放疗置入、脑内深部电刺激、脑内深部电极置入、帕金森病的毁损和电极置入等治疗,它具有创伤小、定位准确、费用低的优点。此次该院神经外科进行的“脑干出血立体定向下穿刺外引流术”为九江地区自主进行的第一例该种手术,标志该院神经外科又向前迈出了坚实的一步。

关闭窗口
联系我们

学校地址:江西省九江市前进东路551号   
Email:jjuxb@jju.edu.cn     邮政编码:332005   
招生电话:0792-8310030 8310031    

Copyright © 2020 九江学院版权所有  备案序号:赣ICP备10004574号  赣公网安备36040202000313

访问统计:您是第位访问者